Blog – novembre 2021
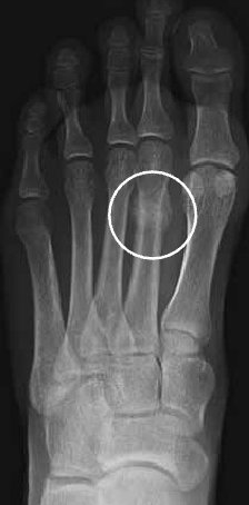
Une fracture de stress est une brisure partielle dans le cortex ou enveloppe de l’os. Elle se développe lorsque les muscles ne sont plus capables d’absorber la charge qu’on leur impose et qu’ainsi trop de chocs ou micro-traumatismes sont transmis à l’os. La plupart des fractures de stress survient dans les os du pied et de la jambe, fréquemment les 2e et 3e métatarses (os entre les orteils et le milieu du pied). Parmi les sports où les impacts aux pieds sont forts et répétés, mentionnons la course à pied, les sports de raquettes, l’athlétisme, la gymnastique et le basketball. Cette blessure est plus fréquente chez les femmes que les hommes.

Causes
Généralement, les fractures de stress surviennent lorsqu’un entraînement avec impact au sol, tel la course à pied, augmente trop rapidement en fréquence, en durée ou en intensité. Autrement dit, «trop en faire trop rapidement» est une cause fréquente. Par exemple, les coureurs qui réduisent ou cessent la course durant l’hiver sont souvent tentés au printemps de reprendre au même rythme qu’avant leur pause. Puisque leur forme physique n’est pas aussi bonne, les muscles se fatiguent plus rapidement. L’os doit supporter davantage de charge et ceci peut mener à une fracture de stress. Des souliers inadéquats peuvent également provoquer cette blessure. Une mauvaise technique de course peut affecter négativement la manière avec laquelle le pied absorbe l’impact au sol et augmenter le risque de fracture de stress.
Symptômes et diagnostic
Bien que non spécifique à cette condition, habituellement la douleur au pied apparaît graduellement, augmente en mettant du poids sur le pied et en courant et diminue avec le repos. En progressant, la douleur provoquée par la fracture de stress devient sévère et survient durant les activités quotidiennes normales. Il y a parfois une enflure et/ou une ecchymose au-dessus du pied. La région de la fracture est sensible à la palpation. La radiographie est souvent utilisée pour confirmer le diagnostic, mais il est à noter que la fracture de stress n’est visible avec les rayons-x qu’après un certain temps.
Traitement
Si vous avez une douleur vive au pied ou à la cheville, arrêtez votre activité et prenez du repos. Continuer à courir avec une telle douleur peut avoir des conséquences sérieuses. Si vous avez une fracture de stress, l’os pourrait se fracturer complètement. Appliquez de la glace et élevez votre pied (plus haut que votre coeur). Les médicaments anti-inflammatoires réduiront peut-être la douleur et l’enflure, mais pourraient également ralentir la guérison de l’os. Ne mettez pas de poids sur votre pied avant d’avoir vu votre chiropraticien ou un autre professionnel de la santé apte à poser un diagnostic. Repos. Vous devez arrêter l’activité qui a causé la blessure. Celle-ci prend habituellement 6 à 8 semaines à guérir. Pendant cette période, votre chiropraticien pourrait vous recommander de faire des sports qui ne mettent pas de poids sur votre pied telle que la natation.
Protection du pied et chirurgie
Il vous sera parfois recommandé de porter une orthèse en forme de botte pour immobiliser et protéger votre pied. Une immobilisation avec un plâtre peut également être nécessaire tout comme les béquilles. Certaines fractures de stress nécessitent aussi une intervention chirurgicale.
Reprise des activités et prévention
Une fois la fracture guérie et la douleur disparue, vous pourrez reprendre très graduellement votre activité sportive. Par exemple, vous devrez courir ou pratiquer un autre sport seulement une journée sur deux au début. Vous devrez aussi être très prudent avec l’augmentation de la fréquence, de la durée et de l’intensité des entraînements. Une progression de 10% par semaine est un point de repère à retenir pour le changement de la charge d’entraînement. Alterner la course à pied avec d’autres sports est aussi important durant la réhabilitation. Assurez-vous que vos souliers sont adéquats, pas trop usés et adaptés à votre type de pied et à la façon dont vous courez. Votre chiropraticien vous prescrira des orthèses plantaires si cela est nécessaire.
Si la douleur et/ou l’enflure reviennent, cessez le sport pour quelques jours. Si la douleur persiste malgré le repos, consultez votre chiropraticien ou autre professionnel de la santé.
